一位20出頭年輕美眉,到我的門診就醫,因為她被其他醫師告知,喉嚨裡面長了東西,希望能尋求幫助。
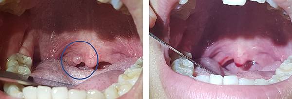
她很擔心,怎麼這麼年輕就得到腫瘤。經過詳細檢查,發現在她的懸壅垂(俗稱小舌或喉嚨滴ㄚ),有一個小小的腫塊,於是直接在門診幫她切除,並送化驗。

一個禮拜左右年輕美眉回診看化驗報告,喉嚨的傷口已經完全復原,心情也恢復輕鬆。
報告結果如同我想的一樣,乳突瘤!!
乳突瘤,常因人類乳突病毒(HPV)感染產生,全球感染HPV的人數已經超過千萬人,由於HPV病毒型別高達一百多種,引起的疾病可能小至從皮膚上的各種疣,到口腔乳突瘤,中度的生殖器尖狀濕疣(菜花),嚴重者就是各類癌症(肛門癌,子宮頸癌等)。

臨床上遇到口腔乳突瘤的病患不少,從嬰兒到老人都有,年輕力壯的年輕人也都會得到,大多數為良性,可以在完整切除後痊癒。
但長庚醫院完成的國內”口咽癌”患者感染人類乳突病毒研究,發現女性患者全數感染此病毒,且感染型別與導致子宮頸癌的病毒型別相同。因此也提醒我們千萬不要忽視這些不起眼的小病灶,因為他們也可能造成病變。
口咽癌的症狀包含喉嚨痛、喉嚨有異物感、頸部淋巴腫大、吞嚥困難等,目前除了早期檢查診斷之外,也可以考慮施打HPV疫苗(以前叫子宮頸癌疫苗),來減少口咽癌的發生率。
